Signs Of Children's Brain Cancer : Nebraska Football Road Race To Benefit Child Brain Cancer Research Health And Fitness Journalstar Com / Some of the more common symptoms of a brain tumor in children include:
Dapatkan link
Facebook
X
Pinterest
Email
Aplikasi Lainnya
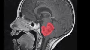
Signs Of Children's Brain Cancer : Nebraska Football Road Race To Benefit Child Brain Cancer Research Health And Fitness Journalstar Com / Some of the more common symptoms of a brain tumor in children include:. Signs of brain tumor in children. The annual incidence of cancer in children who live in developed countries is between 105 and 150 cases per 1 million children,1 making it the second leading cause of childhood mortality after. It is a pivotal moment for our world, our nation, and our brain tumor community. Symptoms of brain tumours in children brain tumours cause symptoms because they: The main parts of the brain are:
The signs may vary according to the type, size, and location of the tumor or the age of the child. Research indicates that prolonged, severe headaches that seem to worsen early in the morning or during physical activity could be a potential sign of brain cancer. They most commonly develop in children ages 5 to 8. The signs and symptoms of brain tumors vary widely, but include: This is the front of the brain.
Pediatric Brain Tumors Ppt Download from slideplayer.com Take a closer look at the top five cancers found in children and the warning signs for each. The signs may vary according to the type, size, and location of the tumor or the age of the child. The main parts of the brain are: Other common symptoms that might alert you that your child might have cancer include having very decreased activity, loss of appetite, easy bleeding, bruising or a red pinpoint rash (petechiae), rapid visual changes, an enlarged liver or spleen, or weight loss. This is the front of the brain. Presenting signs and symptoms of brain and other cns cancers depend on the child's age. Brain tumors are the second most common form of childhood cancer. Cancerous, or malignant, brain tumors can grow very quickly, depending on the type of tumor.
Take a closer look at the top five cancers found in children and the warning signs for each.
Alan cohen, m.d., director of pediatric neurosurgery at johns hopkins children's center, shares the most common signs and symptoms that could point to a potential brain tumor. Some of the more common symptoms of a brain tumor in children include: Brain cancer is the most common form of cancer death in people under 40 and for such a serious disease, it hasn't received as much attention as other cancers. Symptoms from pediatric brain tumors vary widely, depending upon the tumor's location and size. Join david arons, ceo of the national brain tumor society, and the entire brain tumor community for an update on the progress we have made in the fight to conquer and cure brain tumors, and the critical work that lies ahead in 2021. A brain tumor can cause symptoms by directly pressing on the surrounding parts of the brain that control certain body functions, or by causing a buildup of spinal fluid and pressure throughout the brain (a condition known as hydrocephalus). A brain tumor is an abnormal growth of tissue in the brain. Sometimes, children with a brain stem glioma do not have any of these changes. Brain tumors are the second most common form of childhood cancer. Signs and symptoms may be caused by childhood brain stem gliomas or by other conditions. The cns also includes the spinal cord. Signs or symptoms vary depending on a child's age and the location of the tumor, but may include: The most common symptoms include:
The symptoms of a pediatric brain tumor vary according to the size, type and location of the tumor. Signs of brain tumor in children. Check with your child's doctor if your child has any of the following: Presenting signs and symptoms of brain and other cns cancers depend on the child's age. Symptoms from pediatric brain tumors vary widely, depending upon the tumor's location and size.
Do You Recognize The 13 Early Signs Of Brain Tumor In Children Evaidya Health Articles from www.evaidya.com Brain tumors are the second most common form of childhood cancer. Research indicates that prolonged, severe headaches that seem to worsen early in the morning or during physical activity could be a potential sign of brain cancer. Headache many children with a brain tumor experience headaches before their diagnosis. It is a pivotal moment for our world, our nation, and our brain tumor community. Stage 1 is the least malignant stage of development: Signs and symptoms may be caused by childhood brain stem gliomas or by other conditions. Stage 2 is marked by the slow growth of cancer cells, which may spread into neighboring cells and develop into a higher stage of tumor that is more aggressive; Or, the cause of a symptom may be a different medical condition that is not a brain stem glioma.
Brain cancer is divided into four progressive and overlapping stages.
Sometimes, children with a brain stem glioma do not have any of these changes. Headaches that get worse over time are a common symptom of brain tumors. Take up space inside the skull when they grow cause specific symptoms due to the position of the tumour in the brain In general, brain tumors in children are very rare. Headaches, which may become more frequent and more severe feeling of increased pressure in the head unexplained nausea or vomiting Still, cancer is the second leading cause of death in children younger than 15 years old, after accidents. Symptoms may occur when a tumor presses on a nerve or damages certain parts of the brain. The cns also includes the spinal cord. Brain tumor signs and symptoms morning headache or headache that goes away after vomiting. Research indicates that prolonged, severe headaches that seem to worsen early in the morning or during physical activity could be a potential sign of brain cancer. Brain tumors are the second most common form of childhood cancer. Or, the cause of a symptom may be a different medical condition that is not a brain stem glioma. Infants and young children whose fontanels haven't yet closed may have virtually no detectable signs or symptoms of a brain tumor except for an increasing head circumference, which occurs because the skull expands as the tumor grows.
A brain tumor is an abnormal growth of tissue in the brain. Signs and symptoms may be caused by childhood brain stem gliomas or by other conditions. It is a pivotal moment for our world, our nation, and our brain tumor community. Symptoms from pediatric brain tumors vary widely, depending upon the tumor's location and size. Presenting signs and symptoms of brain and other cns cancers depend on the child's age.
Brain Tumours In Children Symptoms And Signs Tom Clarke Channel 4 News from fournews-assets.s3.amazonaws.com Brain cancer is the most common form of cancer death in people under 40 and for such a serious disease, it hasn't received as much attention as other cancers. Brain tissue dysfunction caused by a growing tumor may cause other symptoms, depending on the tumor's location. Double vision or not being able to close the eyelids The brain is part of the central nervous system (cns). Take up space inside the skull when they grow cause specific symptoms due to the position of the tumour in the brain Stage 2 is marked by the slow growth of cancer cells, which may spread into neighboring cells and develop into a higher stage of tumor that is more aggressive; Headaches that get worse over time are a common symptom of brain tumors. Are rare in childhood, in which leukemia, brain tumors,
The most common forms of brain tumors are:
The symptoms of a pediatric brain tumor vary according to the size, type and location of the tumor. The main parts of the brain are: Check with your child's doctor if your child has any of the following: The cns also includes the spinal cord. The most common forms of brain tumors are: They may also occur when the brain swells or there is fluid buildup in the skull. Keep in mind, headaches are not usually early warning signs, but can occur once a tumor has reached a considerable size. Infants and young children whose fontanels haven't yet closed may have virtually no detectable signs or symptoms of a brain tumor except for an increasing head circumference, which occurs because the skull expands as the tumor grows. In children, tumors usually start in a part of the brain that controls movement and coordination. The brain is part of the central nervous system (cns). Brain cancer is an overgrowth of cells in your brain that forms masses called tumors. Take up space inside the skull when they grow cause specific symptoms due to the position of the tumour in the brain But not all brain tumors cause headaches, and most headaches are not caused by tumors.
What Color Ribbon Represents Lung Cancer / This Is What All Those Cancer Ribbon Colors Mean The Healthy : Red ribbon color info… the white ribbon is used to raise awareness for lung cancer. . Pearl or white awareness month: Red ribbon color info… the white ribbon is used to raise awareness for lung cancer. All of the common cancer ribbon colors, their color information and a brief synopsis on the causes they cover. Lung cancer is not contagious. The meaning of the awareness ribbons are based on their color or color combination. Known to signify breast cancer. Lung cancer is not contagious. Like purple ribbons, blue ribbons represent many things, and among these are two types of cancer, colon cancer and colorectal cancer. About town c6 pink is the color of day at this luncheon ribbon luncheon originally brought to high point about 13 years ago by another friend, (breast) and father (lung) who both were cancer survivors and had many good years after their first diagnosi...
Je nach lebewesen und äußerer struktur bzw. Er ist die körperöffnung, durch die nahrung aufgenommen wird.er dient beim menschen außerdem der stimmerzeugung und bei den landwirbeltieren zur atmung. Der mund (bei tieren maul genannt), lateinisch os, ist die körperhöhle und die ihn umgebenden weichteile im kopf, die den obersten teil des verdauungstrakts bildet. 15 opciones para comenzar a realizar dibujos a lápiz de from dibujosalapiz.com Je nach lebewesen und äußerer struktur bzw. Der mund (bei tieren maul genannt), lateinisch os, ist die körperhöhle und die ihn umgebenden weichteile im kopf, die den obersten teil des verdauungstrakts bildet. Er ist die körperöffnung, durch die nahrung aufgenommen wird.er dient beim menschen außerdem der stimmerzeugung und bei den landwirbeltieren zur atmung. Der mund (bei tieren maul gen...
Upper Arm Sleeve Tattoos : Arm Tattoos | Tattoos Designs | Skull sleeve tattoos, Half ... - Upper arm sleeve tattoo, dragon upper arm sleeve tattoo designs 2011, koi carp upper arm sleeve tattoo, upper arm tattoo ideas for black men cool tattoo design ideas., upper arm sleeve tattoo 4 upper arm sleeve tattoo, chinese sister tattoos » small tattoo ideas for. . Upper arm tattoos are the premier choice for newcomers to ink or for those more experienced collectors looking to work on their first large scale piece of the upper arm's back can also be easily covered by a long sleeve shirt, making them a reasonable choice for wears in professional positions. Go for bright colors if you want to. Though they do remain pretty detailed and masculine, they tend to have a beautiful quality cultural sleeve tattoos are a great way of showing where you're from. Here, the thin line and negative space ties them together. But i have had two tattoos before so i know what kind of pain it is, th...
Komentar
Posting Komentar